Setup and use of the Herd IQ binary pregnancy AI on the Pro and LiteNXT ultrasound systems.
System Firmware Version:
- Pro and LiteNXT must be on Firmware Version 2.2.1 or greater.
- Go to Settings – System Info to determine the currently installed firmware.
- If update is needed, please visit https://www.eimedical.com/nxt-firmware-download
- Firmware version is 2.2.1
- It’s recommended that “Reset System” be applied after updating the firmware to ensure correct WiFi settings and licensing of Herd IQ. Settings – System – Reset, choose “Reset System”
System Setup:
- Update and verify the information on the Welcome screen.
Note: To access Herd IQ you must agree to the E.I. Medical Imaging Data Policy.

- Make sure the country is correct and if so, click Yes

- Choose a WiFi network, enter the passphrase, and select “Connect”.
Note: you must use the return key on the virtual keyboard to accept the passphrase before connecting to the network

- The NXT will connect to the internet and verify an active license. If successful, it will display the license type and expiration date.

Note: If the license check is unsuccessful, Herd IQ will not be available. Contact an E.I. Medical Imaging customer service representative for licensing support.
- The Herd IQ logo and diagnostic display will appear on the main screen.

Using Herd IQ:
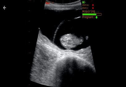
- Herd IQ is connected to the Auto Standby feature and will begin analyzing the image content when the NXT detects an active scan. It is reset each time the NXT reenters standby.
- While scanning, live image information is passed to the AI processor, and diagnostic information is displayed in the upper right corner of the image.
- As uterus and ovary structures are identified in the image, the corresponding indicators will change colors.
Note: These indicators are based on a probability threshold.
Uterus: Red <30%: Orange >= 30% <95%: Green >= 95%
Ovary: Red <30%: Orange >=30% <60%: Green >= 60%
- As identified structures are collected, the “acquiring” progress bar will fill. Once 20 valid images are collected, Herd IQ will begin to assess evidence of a pregnancy.
- If a pregnancy is detected, the progress bar will change to green and “Pregnant” will be displayed.

- If more images are collected that suggest the pregnancy is not valid, the progress bar will revert to red, and the pregnant indicator will change to red.
Note: Evidence of a pregnancy can only be assessed from the images that are collected by the ultrasound operator. For example, it is possible to collect enough valid ovary features to show a full progress bar, but if no pregnancy images are collected, Herd IQ cannot determine a valid pregnancy.
*Absence of a pregnant indicator does not conclusively determine an open cow. *
HerdIQ™ FAQs
Herd IQ is here, and there’s probably a lot you want to know. Browse here for answers to our most frequently asked questions!
- What is Herd IQ and what does it do?
- HIQ is our AI platform, built into the Ibex NXT ultrasound models. Currently, it offers a pregnancy diagnosis based on machine learning that recognizes the visual characteristics of pregnancy in cattle.
- Is AI doing my work for me?
- You still have to be able to locate and scan over the entire uterus per rectum. It’s important to recognize that Herd IQ will essentially give a binary pregnancy detected vs no pregnancy detected, and not a pregnant vs open. In other words, it will diagnose a pregnancy when it detects one, but it cannot call a cow open because it doesn’t know if you have shown it the entire uterus.
- So what’s the point if I can already identify a pregnancy?
- If you’re an experienced ultrasonographer, this first iteration of AI service is unlikely to be of much use to you. However, it could be an excellent tool if:
- you’re a new scanner and you’d love to have a built-in expert to confirm that you are in fact seeing a pregnancy and not a urinary bladder, a blood vessel, or an ovary
- you’ve hired a new-grad associate, and want to help them build confidence. It will also serve to help with their efficiency, and reduce the liability of misdiagnoses
- working in academia – Herd IQ is a great tool for teaching!
- Stay tuned for other AI applications in development under the Herd IQ umbrella! These more advanced programs are designed to enhance your productivity by providing a lot more information in very little time
- How accurate is it?
- Herd IQ has been trained over tens of thousands of images and is over 99% accurate!
- Do I have to use it?
- No! Herd IQ is enabled with a simple toggle switch in the settings menu. Only turn it on if you wish to use it.
- How much does it cost?
- We are offering a 90-day free trial to Ibex NXT customers. After that time, Herd IQ is a $500 per year subscription
- Additional AI tools are in development, and will be priced and released as they become available
- If you’re an experienced ultrasonographer, this first iteration of AI service is unlikely to be of much use to you. However, it could be an excellent tool if:
Note: Evidence of a pregnancy can only be assessed from the images that are collected by the ultrasound operator. For example, it is possible to collect enough valid ovary features to show a full progress bar, but if no pregnancy images are collected, Herd IQ cannot determine a valid pregnancy.
*Absence of a pregnant indicator does not conclusively determine an open cow. *




